1529
Views & Citations529
Likes & Shares
Discussion and Conclusion: This case highlights the importance of considering bezoar-related obstructions in post-LRYGB patients presenting with gastrointestinal symptoms. Phytobezoars may be seen due to altered anatomy and dietary factors. Symptoms typically arise months to years’ post-surgery. Clinical vigilance, imaging, and surgical intervention are crucial for timely management, preventing life-threatening complications like bowel perforation. Awareness among healthcare providers about rare complications is crucial for optimal patient recovery after bariatric surgery.
Keywords: Bariatric surgery complications, Laparoscopic roux-en-y gastric bypass, Intestinal obstruction, Bezoar, Obesity surgery
Among complications associated by the LRYGB are the post-operative leak (0 to 5%), stomal stenosis, marginal ulcers, gastro gastric fistulas, dumping syndrome, or small bowel obstruction, mainly caused by internal hernias (3 to 5% lifetime incidence) [2,3] or more rarely by intussusception and bezoar. Mortality rate remains at 0.09 percent [4].
CLINICAL PRESENTATION
A 57-year caucasian female patient, with an admission BMI (Body mass index) of 36.7 kg/mm2 with arterial hypertension and obstructive sleep apnea (using Continuous Positive Airway Pressure device - CPAP) underwent LRYGB in November 2022. Seven months after surgery the patient was admitted to the Emergency Department with bouts of vomiting evolving over 1 week, followed by sudden and intense abdominal pain in the past 24 h. The pain was epigastric with dorsal radiation, associated with copious vomiting. There was no fever or gastrointestinal transit alterations. Analytically, there was no leukocytosis or increased CRP. Arterial blood gas analysis revealed a lactate level of 2.88.
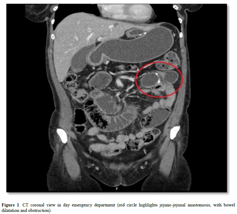
A CT scan of the abdomen and pelvis was performed (Figure 1), identifying distension of the alimentary and biliary loops. As a result, urgent exploratory laparoscopy was performed.

Intraoperatively, no perforation of hollow viscera or internal hernia was found. The common loop was distended near the jejuno-jejunal anastomosis, conditioned by an intraluminal “lesion”. An enterotomy was performed with identification and extraction of a phytobezoar (2 orange segments), which was extracted, and closure was done transversely with barbed suture (Figure 2). The postoperative period progressed favorably, with discharge on the 4th day postoperatively. However, a new admission occurred 15 days later due to a peri-gastric abscess, treated with intravenous antibiotics.

Currently, the patient is clinically well, having undergone laparoscopic cholecystectomy for symptomatic gallstone disease without complications. 15 months after LRYGB she lost 40 kgs and 16 kg/mm2 (actual BMI of 20.7 kg/mm2), resolving its hypertension and sleep apnea.
DISCUSSION
Bezoar presents as a rare etiology of small bowel obstruction, characterized by the conglomeration of ingested material that is neither indigestible nor insoluble. Phytobezoars, primarily composed of cellulose but also containing lignin and fruit tannins, are the most prevalent type and are predominantly encountered in regions with Mediterranean dietary patterns rich in oranges, vegetables, and persimmons [5,6]. Patients undergoing Roux-en-Y gastric bypass (RYGB) are particularly predisposed condition to this complication due to factors such as reduced gastric pouch size, limited mobility, decreased gastric acidity, loss of pyloric function, altered gastrointestinal hormone levels affecting intestinal transit, and inadequate mastication. Symptoms typically manifest between 9 months to 3 years postoperatively.
The patient from our report clearly remembered, after emergency surgery, the inadequate mastication episode that led to this complication. She reported being in her kitchen and motivated by the doorbell ring almost swallowing the pieces of orange. This episode, in association with all the previous discussed factors, lead to this unusual small bowel obstruction complication.
In a meta-analysis conducted by Ben-Porat et al. [7], fifteen cases of post-RYGB bezoar formation were documented, with reported symptoms encompassing small bowel obstruction, perforation, and gastric outlet obstruction. Bezoar localization varied between the gastric pouch and the jejunojejunal anastomosis, necessitating diverse management approaches ranging from endoscopic to surgical interventions, respectively.
CONCLUSION
Although not the most prevalent cause, gastrointestinal obstructions caused by bezoars should be considered in patients who present with delayed complaints of nausea and vomiting. Investigations into this possibility are imperative, as solely considering an anastomotic stricture may lead to delayed treatment and potentially life-threatening complications such as bowel perforation. This case underlays the vital importance of low suspicion level needed for an adequate investigation with a CT scan in post-bariatric surgery patients or even a diagnose (and therapeutically) laparoscopy.
DECLARATIONS
Ethics approval and consent to participate
In compliance with ethical standards, informed consent was obtained from the patient for this case report, prioritizing patient autonomy and confidentiality.
Consent for publication
We have obtained written consent for publication from the patient included in this case report, acknowledging their understanding that their anonymized data and medical history will be shared for educational and research purposes.
Availability of data and materials
Data sharing is not applicable to this article as no datasets were generated or analyzed during the current study.
Competing interests
The authors declare that they have no competing interests.
Authors' contributions
Authors JM [1] and JP [2] have contributed equally to this work, regarding patient data collection, writing and reviewing of the manuscript. All authors read and approved the final manuscript."
- Wittgrove AC, Clark GW, Tremblay LJ (1994) Laparoscopic Gastric Bypass, Roux-en-Y: Preliminary Report of Five Cases. Obes Surg 4(4): 353.
- Al Harakeh AB, Kallies KJ, Borgert AJ, Kothari SN (2016) Bowel obstruction rates in antecolic/antegastric versus retrocolic/retro gastric Roux limb gastric bypass: A meta-analysis. Surg Obes Relat Dis 12(1): 194-198.
- Elms L, Moon RC, Varnadore S, Teixeira AF, Jawad MA (2014) Causes of small bowel obstruction after Roux-en-Y gastric bypass: A review of 2,395 cases at a single institution. Surg Endosc 28(5):1624-1628.
- De Maria EJ, Pate V, Warthen M, Winegar DA (2010) Baseline data from American Society for Metabolic and Bariatric Surgery-designated Bariatric Surgery Centers of Excellence using the Bariatric Outcomes Longitudinal Database. Surg Obes Relat Dis 6(3): 347.
- de Toledo AP, Rodrigues FH, Rodrigues MR, Sato DT, Nonose R, et al. (2012) Diospyrobezoar as a cause of small bowel obstruction. Case Rep Gastroenterol 6(3): 596-603.
- Acar T, Tuncal S, Aydin R (2003) An unusual cause of gastrointestinal obstruction: Bezoar. N Z Med J. 116(1173): U422.
- Ben-Porat T, Dagan SS, Goldenshluger A, Yuval JB, Elazary R (2016) Gastrointestinal phytobezoar following bariatric surgery: Systematic review. Surg Obes Relat Dis 12(9): 1747-1754.
QUICK LINKS
- SUBMIT MANUSCRIPT
- RECOMMEND THE JOURNAL
-
SUBSCRIBE FOR ALERTS
RELATED JOURNALS
- Dermatology Clinics and Research (ISSN:2380-5609)
- Journal of Renal Transplantation Science (ISSN:2640-0847)
- Oncology Clinics and Research (ISSN: 2643-055X)
- International Journal of Clinical Case Studies and Reports (ISSN:2641-5771)
- Stem Cell Research and Therapeutics (ISSN:2474-4646)
- Journal of Cardiology and Diagnostics Research (ISSN:2639-4634)
- Journal of Forensic Research and Criminal Investigation (ISSN: 2640-0846)



