3965
Views & Citations2965
Likes & Shares
Introduction of cyclosporine, over thirty years ago, led to a notable improvement in renal allograft survival rates especially in the first-year following transplantation. Unfortunately, this success has still not translated into similar gains in the long-term. The pathogenesis of chronic allograft dysfunction is often multifactorial. Donor factors, acute rejection episodes, infections, nephrotoxic drugs, recurrent glomerular disease and donor specific antibodies all contribute to chronic allograft loss. Donor specific antibodies have been recognised as a major risk factor for reduced allograft survival in the long term manifested as chronic antibody mediated rejection. Transplant glomerulopathy, though largely considered to morphologically represent chronic antibody mediated rejection, can also arise secondary to other aetiologies including hepatitis C and thrombotic microangiopathy. In clinical practice, allograft dysfunction is generally identified by a rise in serum creatinine or new proteinuria. It is unfortunate that these markers rise rather late in the course of ongoing chronic allograft nephropathy. Once transplant glomerulopathy is established, the allograft outcomes are poor. An improved understanding, early identification and treatment of the underlying pathologies contributing to chronic allograft injury and eventual graft loss is essential. This review is aimed to define the investigations required to establish the underlying cause, differential diagnoses and management of chronic allograft dysfunction in a renal transplant recipient.
Keywords: Glomerulopathy; Microangiopathy; Glomerulonephritis; Calcinerium inhibitor nephrotoxicity; Glomerulosclerosis
INTRODUCTION
Despite consistent improvement in early graft survival rates following kidney transplantation (KT), long term allograft survival continues to be a challenge [1]. Renal allograft loss occurs in the early stages due to non-function and subsequently secondary to allograft failure or patient death. Death with a functioning graft remains the single most common cause of graft loss [2]. Chronic allograft failure is multifactorial, with the main contributing factors being cell mediated or antibody-mediated rejection, recurrent or de novo glomerulonephritis (GN), infections and calcineurin inhibitor (CNI) nephrotoxicity [2,3]. At 10 years, recurrent GN is the third most frequent cause of allograft failure [4] and it is observed in 4–20% of renal allograft recipients [5]. Early identification of chronic allograft injury (CAI) is vital since timely interventions directed towards the cause may prolong graft survival. Unfortunately, a rise in serum creatinine or increasing proteinuria are late markers of ongoing allograft injury and, therefore, interventions at this stage may not lead to successful outcomes.
Identification and investigation of chronic allograft dysfunction
Chronic allograft dysfunction (CAD) is most commonly identified by a slow variable decline in glomerular filtration rate which may be accompanied by a new active sediment. A revisit through the patient’s history including the cause of end stage renal disease (ESRD), donor details, immunological risk at transplantation, transplant operation details, mainly noting the cold ischemia time and presence of delayed graft function, immunosuppression history, any rejection episodes and information about any other associated comorbidities namely hypertension, diabetes mellitus and hyperlipidaemia are of crucial importance.
Proteinuria in a kidney transplant recipient may be tubular or glomerular. The former can occur due to long term use of CNIs or mammalian target of rapamycin inhibitors (MTOR-i). Acute rejection and antimicrobials may contribute to this type of proteinuria. Glomerular proteinuria arises secondary to recurrent or de novo glomerular diseases, transplant glomerulopathy (TG), diabetes, obesity, hypertension and also CNIs and MTOR-i [6]. Proteinuria greater than 1.5 gm per day is more likely to be secondary to glomerular pathology. Worsening proteinuria is associated with inferior allograft outcomes [7]. A renal allograft biopsy is crucial in this setting, preceded by a duplex ultrasound scan of the allograft, mainly to exclude mechanical complications like obstruction and to assess renal perfusion. The investigations required for the investigation of allograft dysfunction are outlined in Table 1.
Renal allograft biopsy:
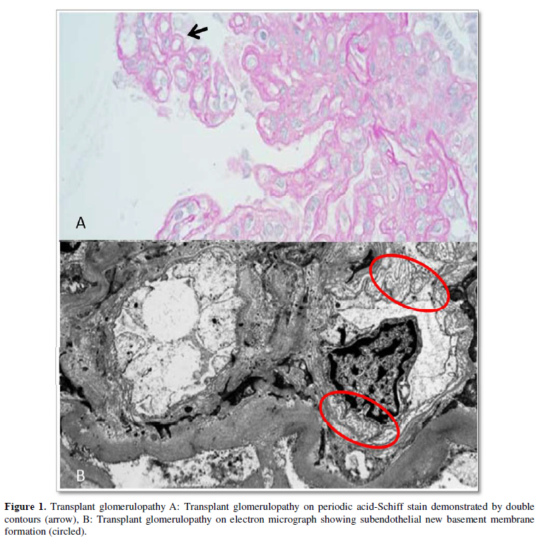
The renal transplant biopsy which is performed under real time ultrasound has a low complication rate.8 Older age, high blood urea, low platelet count, deceased donor, history of previous kidney transplant and use of anticoagulant medications were found to increase the rate of complications [8]. Renal tissue is analysed under light microscopy (LM), followed by immunofluorescence and C4d staining. In cases where there is BK viremia staining with SV40 is also performed. The updated 2015 Banff classification is crucial when interpreting a transplant biopsy [9]. Features which are diagnostic of chronic antibody-mediated rejection (CABMR) include the presence of donor specific antibodies (DSA), TG, peritubular capillary basement membrane multi-layering and the presence of C4d (Figure 1). Although the routine use of EM in all transplant biopsies is still not widespread, it has an important role in the diagnosis of glomerular disease and CABMR in the renal allograft. EM is able to detect glomerular disease in the early stages prior to changes being visible on LM. Indeed, early TG may be missed on LM since the typical glomerular double contours may be absent [10]. EM would demonstrate glomerular diseases with a membrano-proliferative glomerulonephritis (MPGN)-like pattern since some of the histologic changes seen in TG and in thrombotic microangiopathy (TMA) are not dissimilar to those seen in recurrent or de novo MPGN. Use of EM would identify electron dense deposits which are generally visible in MPGN but not in TG. Indeed, the differential diagnosis between TG secondary to alloantibodies, de novo GN or recurrent GN can be challenging.
The features of CNI nephrotoxicity on biopsy include isometric tubular cell injury with isometric vacuolization in the acute stages followed by arteriolar hyalinosis, and typically striped interstitial fibrosis and tubular atrophy (IFTA), refer to Figure 2. Other chronic changes associated with CNI nephrotoxicity include medial arteriolar hyalinosis, glomerular capsular fibrosis, global or focal segmental glomerulosclerosis, juxtaglomerular apparatus hyperplasia and tubular micro-calcification [11].
Chronic allograft dysfunction: differential diagnosis
The causes for renal allograft failure may be broadly categorised into immunological and non-immunological (Figure 3). The former, comprise both cellular and antibody-mediated rejection (ABMR). Non-immunological causes include donor-related factors (donor after cardiac death, elderly or extended criteria donor), prolonged cold ischaemia time, ischaemia-reperfusion injury, infection, drug toxicity, recurrent primary disease, obstruction, hypertension, diabetes and hyperlipidaemia.
Transplant glomerulopathy and chronic allograft rejection
TG is not a specific diagnosis however it has been strongly linked to chronic active ABMR mostly involving HLA class II antibodies, especially DR-associated DSA [10,12]. With time, foreign antigens in the allograft can give rise to increasing levels or de novo formation of DSA. Indeed, a DSA MFI value >3000 and complement binding (C1q) DSA have been associated with the development of subclinical AMR [13]. The latter are also associated with an increased risk of graft loss. Acute rejection is uncommon after the first year, with chronic rejection being the main culprit in the long-term. Patient’s non-compliance might play an important role as a cause of chronic rejection [14]. Even in unsensitised patients, de novo DSA is found in 15-20% of recipients at 5-years post-transplant [15]. HLA-DR and DQ mismatches, viral infections, inadequate immunosuppression and non-compliance have all been implicated in the formation of de novo DSA [16]. These lead to endothelial antibody-mediated damage manifesting as TG on biopsy (Figure 4). This is subsequently demonstrated clinically by a rising creatinine, proteinuria and hypertension. The incidence of TG from protocol biopsies in conventional KT is up to 20% at 5-years post-transplant [12]. TG can also arise secondary to recurrent or de novo immune-complex GN including MPGN, lupus nephritis and chronic TMA. It has also been linked to hepatitis C infection [12].
Recurrent glomerular disease
Recurrent glomerulonephritis is a common cause of long-term allograft loss. The risk of recurrence is higher with certain glomerulonephritis namely focal segmental glomerulosclerosis (FSGS), atypical haemolytic uremic syndrome (HUS) and MPGN (Table 2). Of note, it may be difficult to differentiate between recurrent or de novo glomerulonephritis in patients where the cause of end stage renal disease was previously unknown. There is also wide variance in the reported incidence of recurrence since it depends on whether protocol biopsies were being carried out.
Recurrent primary FSGS is known to recur in about 30% of renal transplants [17,18], rising to about 80 to 90% for a subsequent allograft [19,20]. Proposed factors that increase this recurrence risk include disease onset at a young age, rapid progression to ESRD, mesangial proliferation on biopsy, early onset of nephrotic proteinuria after transplantation and receiving an allograft from an older donor [21].
MPGN recurrence rates following KT are reported at 19 to 65% with more than half being diagnosed in the first year [22-25]. The old MPGN type 2 (Dense deposit disease) was previously associated with the highest recurrence rates at 80 to 100% [15]. Once MPGN recurs, there is a high percentage of graft failure reported at 50% [24] and also up to 80% in another study [22], since it is poorly responsive to treatment. An earlier and more aggressive recurrence tends to occur in MPGN associated with monoclonal gammopathy. The recurrence rate also rises with subsequent transplants. Living-related donors (possibly due to a common genetic predisposition), pre-emptive transplant, time after transplantation, HLA B8, DR, B49, DR4, higher proteinuria, the presence of crescents in the original biopsy, the presence of monoclonal immunoglobulins and lower serum complement level are reported to be associated with an increased risk of recurrence [22-24,26]. The latter two were mainly associated with an increased risk of the immune-complex type of MPGN.
Atypical HUS has a recurrence rate reported at 30 to 90% depending on the complement factor affected [15]. IgA nephropathy, which is the most common glomerulonephritis worldwide, is also known to recur after transplantation. Living related donors, especially if zero HLA-mismatched, and younger recipients seem to be associated with an increased recurrence risk [27]. Primary membranous nephropathy (MN) recurs in about 45% after transplantation mainly during the first year [28]. It can also arise de novo in patients transplanted following ESRD due to any other cause.
CNI nephrotoxicity
It is well established that CNIs are nephrotoxic by causing vasoconstriction, vascular and tubular injury and rarely TMA. CNI toxicity has been illustrated in observational studies involving patients with extra-renal solid organ transplants on CNIs. One study reported a 16.5% risk of CKD, with 28.9% of patients reaching ESRD [29]. Nankivell et al. (2004), studied protocol kidney biopsies in diabetics on ciclosporine over a ten-year period. Mild patchy arteriolar hyalinosis was seen on biopsy associated with early high-dose CNI. With chronic CNI use, arteriolar hyalinosis becomes more severe leading to striped fibrosis and ischaemic glomerulosclerosis which is irreversible [30]. Striped fibrosis arises due to areas of IFTA alternating with areas of preserved tubules (Figure 5). Although often linked to CNI toxicity, this pattern of injury can also be attributed to other pathology such as hypertension, diabetes mellitus, arteriosclerosis and chronic rejection [31].
Infections
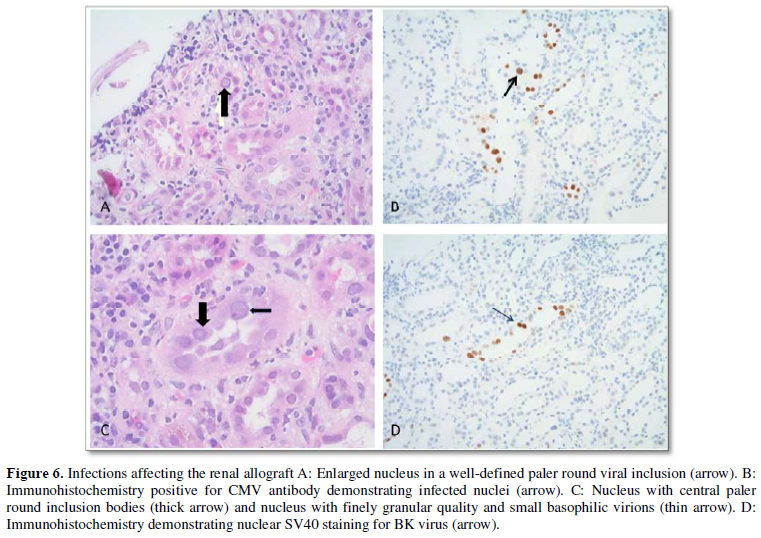
Infections with BK polyoma virus, cytomegalovirus (CMV) and adenovirus (ADV) are known to affect allograft function by causing tissue damage and immunologically related injury [32] (Figure 6). BK nephropathy is now an increasingly common cause of CAD probably due to more potent immunosuppressant regimes as well as regular screening by transplant physicians. Chronic urinary tract infections can also lead to CAI due to direct injury or by promoting rejection due to activation of the innate immune system [33].
Post-transplant Diabetes Mellitus
Post-transplant diabetes mellitus (PTDM) is a known complication following KT reported in 4 to 25% of cases [34]. PTDM is diagnosed if fasting blood glucose is ≥7mmol/L or 2-hour plasma glucose post oral glucose tolerance test is ≥11.1mmol/L or HbA1c ≥6.5%. The risk is increased with corticosteroids, CNIs especially tacrolimus, older age, higher body mass index, family history, ethnic group, deceased and male donor and CMV infection among others. A link between PTDM and inferior allograft survival has not been constantly demonstrated though PTDM contributes to increased mortality with a functioning graft [35]. This is probably related to associated cardiovascular disease and increased infection risk.
Treatment options
Treatment will largely depend on the cause of CAD however in all recipients’ control of blood pressure aiming for <130/80mm Hg and control of hyperlipidaemia is essential. Uncontrolled blood pressure after KT was associated with a graded increase of subsequent allograft failure [36]. ACE-inhibitors or angiotensin receptor blockers (ARB) should be used first line both for blood pressure control and control of proteinuria. Calcium channel blockers are preferred for blood pressure control because of their association with arteriolar vasodilation which is thought to counteract the CNI-associated vasoconstriction [37].
When there are features of chronic damage on histopathology, the treating team should carefully weigh the chances of glomerular recovery by using more potent immunosuppression and, on the other hand, balancing it with the increased risk of infection and malignancy that are determined by cumulative immunosuppression.
Antibody-mediated rejection
Acute ABMR is the most important risk factor for chronic ABMR and resulting TG so it is paramount to treat the former aggressively. Plasmapheresis, with or without intravenous immunoglobulin (IVIG) is used to treat antibody mediated acute rejection [38]. Rituximab has reported benefit by depleting CD20+ B cells [39]. New approaches to treat acute ABMR include the use of bortezomib which causes apoptosis and depletion of plasma cells, and complement inhibition with eculizumab. Overall immunosuppression should be intensified by increasing CNI dose aiming for a higher trough level, changing from ciclosporine to tacrolimus and adding or increasing the dose of mycophenolic acid, if possible.
Treatment of chronic ABMR remains a challenge since the evidence of its benefit is very sparse. The agents used for acute ABMR have also been used in chronic ABMR though with variable response [39,40]. Table 3 outlines a number of studies investigating treatment of chronic ABMR [41]. In a number of cases of ABMR, there is concurrent cellular rejection and these patients require pulse therapy with methylprednisolone. If acute cellular rejection is not responsive to steroids, then anti-thymoglobulin (ATG) is recommended.
Recurrence of glomerulonephritis
- FSGS: A number of studies have suggested the presence of a circulating permeability factor in FSGS, which causes a damaging effect on the podocyte [52]. In view of this theory, use of plasmapheresis both empirically and for treatment of recurrent FSGS, has been reported with variable success [53-55]. Rituximab, has also been used with plasmapheresis both as prophylaxis and treatment of recurrent FSGS, though results were conflicting [56,57].
- MPGN: There is no proven treatment for recurrent idiopathic MPGN. The use of ACE-inhibitors/ARBs seem to be associated with reduced graft loss in recurrent MPGN [24]. In mild disease where there is stable renal function and proteinuria is less than 3.5gm per day, conservative treatment with ACE-inhibitors/ARBs and statins is warranted. In patients with moderate disease with worsening renal function and increasing proteinuria, the corticosteroid and antimetabolite dose can be increased. Cyclophosphamide has been used to substitute mycophenolate mofetil or azathioprine in some cases. In severe disease, the use of cyclophosphamide, rituximab +/- plasmapheresis has been reported in case reports [58]. The treatment of secondary MPGN is directed at the underlying condition. Management of C3 glomerulopathy following KT is uncertain. Mild disease is treated as outlined above. In more severe disease, infusions of fresh frozen plasma may reduce disease progression in cases having genetic mutations in the complement factor H gene (CFH). Interest in the use of the anti-complement therapy, eculuzimab, in complement-mediated MPGN has emerged [59]. There is limited data on the use of eculuzimab in C3 glomerulopathies. It has been used in a few cases of native and recurrent C3 glomerulopathies with variable response [60,61]. This difference in response between patients, and also when compared to its success in treating atypical HUS depends on where the dysregulation occurs in the alternative pathway. Patients with C3 glomerulopathies having primarily C5 convertase dysregulation seem to be the ones more likely to respond. Elevated membrane attack complex (MAC) levels may also be a predictor of response [62]. Further studies are underway to test the efficacy of eculizumab in primary MPGN patients who also have low C3 levels. Rituximab does not seem to be effective in C3 glomerulopathies.
- IgA nephropathy: Management of IgA recurrence varies depending on the clinical presentation, though the optimal treatment is not clearly defined. High dose steroids and cyclophosphamide, with anti-metabolite withdrawal may be considered in rapidly progressive disease [63].
- Membranous nephropathy: As with the other glomerulonephritis, treatment will depend on the severity of the clinical presentation. In patients with progressive proteinuria despite conventional measures, rituximab has been used with success following a better understanding of the pathogenic role of the plasma cell in MN [28].
Calcineurin-inhibitor (CNI) nephrotoxicity
If there is evidence of CNI nephrotoxicity, one can opt for a CNI sparing strategy with CNI minimisation or withdrawal. Introduction of a MTOR-i to reduce CNI levels or eliminate the CNI completely has been studied in a number of trials. Complete CNI withdrawal has its own inherent drawbacks since it has been associated with an increase in acute rejection [64,65]. A change to MTOR-i based immunosuppression would be a good option when eGFR is >40ml/min and proteinuria is <0.8 gm/day in a patient who is in a low immunological risk group [66,67].
BK nephropathy
Treatment of BK nephropathy principally involves reduction of immunosuppression. The antimetabolite is usually reduced or discontinued in the first instance. Conversion to an MTOR-i may have beneficial effects for viral clearance [68]. There is no definite evidence for antimicrobial use, although cidofovir, leflunomide and fluroquinolones have been used with inconsistent results [69-72]. Immunoglobulins have also been used with variable success in combination with immunosuppression reduction [73].
Prognosis
Once TG is detected, renal allograft prognosis is poor with less than 50% of allografts functioning after 5 years [12]. Regrettably, in most cases the diagnosis is made too late and significant structural chronic damage is already established [10]. Likewise, if there is evidence of widespread IFTA, these changes are irreversible. At this point, if creatinine continues to deteriorate, discussions with the patient about returning to dialysis or work up for a subsequent transplant are required. In the latter scenario, immunosuppression should not be stopped completely and repeat HLA mismatches should be avoided when contemplating re-transplantation [15].
CONCLUSIONS
Early identification and investigation of CAI is crucial since it may be possible to preserve whatever residual renal function by directing appropriate treatment to save the allograft from further damage from ongoing insult. The mantra ‘prevention is better than cure’ should be the focus of every transplant clinician. Protocol biopsies might play an important role in this regard to detect early pathology prior to overt clinical manifestation, and their use is set to increase across transplant centers worldwide. Further research including genomic and proteomic studies to identify novel non-invasive biomarkers for earlier detection of allograft injury will be of great use once their clinical efficacy is established. Prevention and aggressive management of acute ABMR is the best way of preventing TG, since it is a strong predictor of poor long-term allograft survival [10]. Further insight into the pathogenic mechanisms of TG and chronic ABMR may lead to the introduction of novel therapeutic agents which will translate into better outcomes when treating immune-mediated CAI.
1. Hart A, Smith JM, Skeans MA, Gustafson SK, Stewart DE, et al. (2017). OPTN/SRTR 2015 Annual Data Report: Kidney. Am J Transplant;17:21–116.
2. El-Zoghby ZM, Stegall MD, Lager DJ, Kremers WK, Amer H, et al. (2009). Identifying specific causes of kidney allograft loss. Am J Transplant.;9:527–535.
3. Chand S, Atkinson D, Collins C, Briggs D, Ball S, et al. (2016). The spectrum of renal allograft failure. PLoS One.;11:e0162278.
4. Briganti EM, Russ GR, McNeil JJ, Atkins RC, Chadban SJ (2002). Risk of renal allograft loss from recurrent glomerulonephritis. N Engl J Med.;347:103–109.
5. Kotanko P, Pusey CD, Levy JB (1997). Recurrent glomerulonephritis following renal transplantation. Transplantation.;63:1045–1052.
6. Ponticelli C, Graziani G (2012). Proteinuria after kidney transplantation. Transpl Int.;25:909–917.
7. Amer H, Cosio FG (2009). Significance and management of proteinuria in kidney transplant recipients. J Am Soc Nephrol.;20:2490-2492.
8. Morgan TA, Chandran S, Burger IM, Zhang CA, Goldstein RB (2016). Complications of Ultrasound-Guided Renal Transplant Biopsies. Am J Transplant.;16:1298–1305.
9. Loupy A, Haas M, Solez K, Racusen L, Glotz D, et al. (2017). The Banff 2015 Kidney Meeting Report: Current Challenges in Rejection Classification and Prospects for Adopting Molecular Pathology. Am J Transplant.;17:28–41.
10. Husain S, Sis B (2013). Advances in the understanding of transplant glomerulopathy. Am J Kidney Dis.;62:352-363.
11. Naesens M, Kuypers DR, Sarwal M (2009). Calcineurin inhibitor nephrotoxicity. Clin J Am Soc Nephrol.;4:481-508.
12. Gloor JM, Sethi S, Stegall MD, Park WD, Moore SB, et al. (2007). Transplant glomerulopathy: Subclinical incidence and association with alloantibody. Am J Transplant.;7:2124–2132.
13. Yamamoto T, Watarai Y, Takeda A, Tsujita M, Hiramitsu T, et al. (2016). De Novo Anti-HLA DSA Characteristics and Subclinical Antibody-Mediated Kidney Allograft Injury. Transplantation.;100:2194-2202.
14. Sellares J, De Freitas DG, Mengel M, Reeve J, Einecke G, et al. (2012). Understanding the causes of kidney transplant failure: The dominant role of antibody-mediated rejection and nonadherence. Am J Transplant.;12:388–399.
15. Riella L V, Djamali A, Pascual J (2017). Chronic allograft injury: Mechanisms and potential treatment targets. Transplant Rev (Orlando).;31:1-9.
16. Jordan SC, Vo AA (2014). Donor-specific antibodies in allograft recipients: etiology, impact and therapeutic approaches. Curr Opin Organ Transplant.;19:591-597.
17. Shimizu A, Higo S, Fujita E, Mii A, Kaneko T. Focal segmental glomerulosclerosis after renal transplantation. Clin Transplant. 2011;25 Suppl 23:6-14.
18. Couser W (2005). Recurrent glomerulonephritis in the renal allograft: an update of selected areas. Exp Clin Transplant.;3:283-288.
19. Valdivia P, Gonzalez Roncero F, Gentil MA, Jimenez F, Algarra G, et al. (2005). Plasmapheresis for the prophylaxis and treatment of recurrent focal segmental glomerulosclerosis following renal transplant. Transplant Proc.;37:1473-1474.
20. Gohh RY, Yango AF, Morrissey PE, Monaco AP, Gautam A, et al. (2005). Preemptive plasmapheresis and recurrence of FSGS in high-risk renal transplant recipients. Am J Transplant.;5:2907-2912.
21. Ponticelli C (2010). Recurrence of focal segmental glomerular sclerosis (FSGS) after renal transplantation. Nephrol Dial Transplant.;25:25-31.
22. Green H, Rahamimov R, Rozen-Zvi B, Pertzov B, Tobar A, et al. (2015). Recurrent membranoproliferative glomerulonephritis type I after kidney transplantation: A 17-Year single-center experience. Transplantation.;99:1172–1177.
23. Andresdottir MB, Assmann KJ, Hoitsma AJ, Koene RA, Wetzels JF (1997). Recurrence of type I membranoproliferative glomerulonephritis after renal transplantation: analysis of the incidence, risk factors, and impact on graft survival. Transplantation.;63:1628–1633.
24. Alasfar S, Carter-Monroe N, Rosenberg AZ, Montgomery RA, Alachkar N (2016). Membranoproliferative glomerulonephritis recurrence after kidney transplantation: Using the new classification. BMC Nephrol. BMC Nephrology.;17:7.
25. Lorenz EC, Sethi S, Leung N, Dispenzieri A, Fervenza FC, Cosio FG (2010). Recurrent membranoproliferative glomerulonephritis after kidney transplantation. Kidney Int.;77:721–728.
26. Little MA, Dupont P, Campbell E, Dorman A, Walshe JJ (2006). Severity of primary MPGN, rather than MPGN type, determines renal survival and post-transplantation recurrence risk. Kidney Int.;69:504–511.
27. Nijim S, Vujjini V, Alasfar S, Luo X, Orandi B, et al. (2016). Recurrent IgA Nephropathy After Kidney Transplantation. Transplant Proc.;48:2689-2694.
28. Grupper A, Cornell LD, Fervenza FC, Beck LH Jr, Lorenz E, et al. (2016). Recurrent Membranous Nephropathy After Kidney Transplantation: Treatment and Long-Term Implications. Transplantation.;100:2710-2716.
29. Ojo AO, Held PJ, Port FK, Wolfe RA, Leichtman AB, et al. (2003). Chronic renal failure after transplantation of a nonrenal organ. N Engl J Med.;349:931-940.
30. Nankivell BJ, Borrows RJ, Fung CLS, O’Connell PJ, Chapman JR, et al. (2004). Calcineurin inhibitor nephrotoxicity: Longitudinal assessmment by protocol histology. Transplantation.;78:557–565.
31. Dell'Antonio G, Randhawa PS (1999). "Striped" pattern of medullary ray fibrosis in allograft biopsies from kidney transplant recipients maintained on tacrolimus. Transplantation.;67:484-486.
32. Martin-Gandul C, Mueller NJ, Pascual M, Manuel O (2015). The Impact of Infection on Chronic Allograft Dysfunction and Allograft Survival After Solid Organ Transplantation. Am J Transplant.;15:3024-3040.
33. Hato T, Dagher PC (2015). How the innate immune system senses trouble and causes trouble. Clin J Am Soc Nephrol.;10:1459–1469.
34. Gomes MB, Cobas RA (2009). Post-transplant diabetes mellitus. Diabetology and Metabolic Syndrome. Diabetol Metab Syndr.;1:14.
35. Cole EH, Johnston O, Rose CL, Gill JS (2008). Impact of acute rejection and new-onset diabetes on long-term transplant graft and patient survival. Clin J Am Soc Nephrol.;3:814–821.
36. Opelz G, Wujciak T, Ritz E (1998). Association of chronic kidney graft failure with recipient blood pressure. Kidney Int.;53:217–222.
37. Kuypers DRJ, Neumayer HH, Fritsche L, Budde K, Rodicio JL, et al. (2004). Calcium channel blockade and preservation of renal graft function in cyclosporine-treated recipients: A prospective randomized placebo-controlled 2-year study. Transplantation.;78:1204–1211.
38. Garces JC, Giusti S, Staffeld-Coit C, Bohorquez H, Ari J, et al. (2017). Antibody-Mediated Rejection : A Review. Ochsner J.;17:46-55.
39. Macklin PS, Morris PJ, Knight SR (2017). A systematic review of the use of rituximab for the treatment of antibody-mediated renal transplant rejection. Transplant Rev.;31:87–95.
40. Redfield RR, Ellis TM, Zhong W, Scalea JR, Zens TJ, et al. (2016). Current outcomes of chronic active antibody mediated rejection – A large single center retrospective review using the updated BANFF 2013 criteria. Hum Immunol.;77:346-352.
41. Pascual J, Perez-Saez MJ, Mir M, Crespo M (2012). Chronic renal allograft injury: Early detection, accurate diagnosis and management. Transplant Rev (Orlando).;26:280-290
42. Billing H, Rieger S, Ovens J, Susal C, Melk A, et al. (2008). Successful treatment of chronic antibody-mediated rejection with IVIG and rituximab in pediatric renal transplant recipients. Transplantation.;86:1214–1221.
43. Fehr T, Rusi B, Fischer A, Hopfer H, Wüthrich RP, et al. (2009). Rituximab and intravenous immunoglobulin treatment of chronic antibody-mediated kidney allograft rejection. Transplantation.;87:1837–1841.
44. Sberro-Soussan R, Zuber J, Suberbielle-Boissel C, Candon S, Martinez F, et al. (2010). Bortezomib as the sole post-renal transplantation desensitization agent does not decrease donor-specific anti-HLA antibodies. Am J Transplant.;10:681–686.
45. Woodle ES, Light J, Rubin M et al. Proteasome inhibitor therapy for antibody mediated rejection: initial report from a multicenter collaborative. Am J Transplant 2010;10(s4): 83–84.
46. Flechner SM, Fatica R, Askar M, Stephany BR, Poggio E, et al. (2010). The role of proteasome inhibition with bortezomib in the treatment of antibody-mediated rejection after kidney-only or kidney-combined organ transplantation. Transplantation.;90:1486–1492.
47. Waiser J, Budde K, Schütz M, Liefeldt L, Rudolph B, et al. (2012). Comparison between bortezomib and rituximab in the treatment of antibody-mediated renal allograft rejection. Nephrol Dial Transplant.;27:1246–1251.
48. Ban TH, Yu JH, Chung BH, Choi BS, Park CW, et al. (2017). Clinical Outcome of Rituximab and Intravenous Immunoglobulin Combination Therapy in Kidney Transplant Recipients with Chronic Active Antibody-Mediated Rejection. Ann Transplant.;22:468-474.
49. Moreso F, Crespo M, Ruiz JC, Torres A, Gutierrez-Dalmau A, et al. (2018). Treatment of chronic antibody mediated rejection with intravenous immunoglobulins and rituximab : A multicenter, prospective, randomized, double-blind clinical trial. Am J Transplant.;18:927-935
50. Choi J, Aubert O, Vo A, Loupy A, Haas M, et al. (2017). Assessment of Tocilizumab (Anti-Interleukin-6 Receptor Monoclonal) as a Potential Treatment for Chronic Antibody-Mediated Rejection and Transplant Glomerulopathy in HLA-Sensitized Renal Allograft Recipients. Am J Transplant.;17:2381-2389.
51. Muller YD, Ghaleb N, Rotman S, Vionnet J1, Halfon M, et al. (2018). Rituximab as monotherapy for the treatment of chronic active antibody-mediated rejection after kidney transplantation. Transpl Int.;31:451-455.
52. Savin VJ, Sharma R, Sharma M, McCarthy ET, Swan SK, et al. (1996). Circulating factor associated with increased glomerular permeability to albumin in recurrent focal segmental glomerulosclerosis. N Engl J Med.;334:878-883.
53. Valdivia P, Gonzalez Roncero F, Gentil MA, Jimenez F, Algarra G, et al. (2005). Plasmapheresis for the prophylaxis and treatment of recurrent focal segmental glomerulosclerosis following renal transplant. Transplant Proc.;37:1473-1474
54. Gohh RY, Yango AF, Morrissey PE, Monaco AP, Gautam A, et al. (2005). Preemptive plasmapheresis and recurrence of FSGS in high-risk renal transplant recipients. Am J Transplant.;5:2907-12.
55. Vlachopanos G, Georgalis A, Gakiopoulou H (2015). Plasma Exchange for the Recurrence of Primary Focal Segmental Glomerulosclerosis in Adult Renal Transplant Recipients: A Meta-Analysis. J Transplant.;2015:639628.
56. Okumi M, Miyauchi Y, Yagisawa T, K. Unagami, D. Toki, et al. (2015). Excellent Outcomes of Prophylactic Rituximab Administration With Plasmapheresis in Kidney Transplant Recipients With Focal Segmental Glomerulosclerosis [abstract]. Am J Transplant.; 15 (suppl 3). http://atcmeetingabstracts.com/abstract/excellent-outcomes-of-prophylactic-rituximab-administration-with-plasmapheresis-in-kidney-transplant-recipients-with-focal-segmental-glomerulosclerosis/. Accessed April 9, 2018.
57. Rodríguez-Ferrero M, Ampuero J, Anaya F (2009). Rituximab and chronic plasmapheresis therapy of nephrotic syndrome in renal transplantation patients with recurrent focal segmental glomerulosclerosis. Transplant Proc.;41(6):2406-2408.
58. Dillon JJ, Hladunewich M, Haley WE, Reich HN, Cattran DC, et al. (2012). Rituximab therapy for Type I membranoproliferative glomerulonephritis. Clin Nephrol.;77:290-295.
59. Pickering MC, D’Agati VD, Nester CM, Smith RJ, Haas M, et al. (2013). C3 glomerulopathy: consensus report. Kidney International.;84:1079-1089.
60. McCaughan JA, O’Rourke DM, Courtney AE (2012). Recurrent dense deposit disease after renal transplantation: An emerging role for complementary therapies. Am J Transplant.;12:1046–1051.
61. Bomback AS (2014). Eculizumab in the treatment of membranoproliferative glomerulonephritis. Nephron Clin Pract.;128:270-276.
62. Bomback AS, Smith RJ, Barile GR, Zhang Y, Heher EC, et al. (2012). Eculizumab for dense deposit disease and C3 glomerulonephritis. Clin J Am Soc Nephrol.;7:748–756.
63. Malhotra PS, Jorna T, Bhandari S (2018). Treatment of Immunoglobulin A Nephropathy Recurrence Post-Renal Transplant. Transplant Proc.;50:165-167.
64. Ekberg H, Bernasconi C, Tedesco-Silva H, Vítko S, Hugo C, et al. (2009). Calcineurin inhibitor minimization in the symphony study: Observational results 3 years after transplantation. Am J Transplant.;9:1876–1885.
65. Mulay A V, Hussain N, Fergusson D, Knoll GA (2005). Calcineurin inhibitor withdrawal from sirolimus-based therapy in kidney transplantation: A systematic review of randomized trials. Am J Transplant.;5:1748–1756.
66. Schena FP, Pascoe MD, Alberu J, del Carmen Rial M, Oberbauer R, et al. (2009). Conversion from calcineurin inhibitors to sirolimus maintenance therapy in renal allograft recipients: 24-month efficacy and safety results from the CONVERT trial. Transplantation.;87:233–42.
67. Gatault P, Lebranchu Y (2013). Conversion to mTOR-inhibitor-based immunosuppression: which patients and when? Transplant Res.;2:S3.
68. Polanco N, Gonzalez Monte E, Folgueira MD, Morales E, Gutiérrez Martinez E, et al. (2015). Everolimus-based immunosuppression therapy for BK virus nephropathy. Transplant Proc.;47:57-61
69. Kuypers DR, Vandooren AK, Lerut E, Evenepoel P, Claes K, et al. (2005). Adjuvant low-dose cidofovir therapy for BK polyomavirus interstitial nephritis in renal transplant recipients. Am J Transplant.;5:1997-2004.
70. Josephson MA, Gillen D, Javaid B, Kadambi P, Meehan S, et al. (2006). Treatment of renal allograft polyoma BK virus infection with leflunomide. Transplantation.;81:704-710.
71. Lee BT, Gabardi S, Grafals M, Hofmann RM, Akalin E, et al. (2014). Efficacy of levofloxacin in the treatment of BK viremia: a multicenter, double-blinded, randomized, placebo-controlled trial. Clin J Am Soc Nephrol.;9:583-589.
72. Kuypers DR (2012). Management of polyomavirus-associated nephropathy in renal transplant recipients. Nat Rev Nephrol.;8:390–402.
73. Vu D, Shah T, Ansari J, Naraghi R, Min D (2015). Efficacy of intravenous immunoglobulin in the treatment of persistent BK viremia and BK virus nephropathy in renal transplant recipients. Transplant Proc.;47:394-398.
QUICK LINKS
- SUBMIT MANUSCRIPT
- RECOMMEND THE JOURNAL
-
SUBSCRIBE FOR ALERTS
RELATED JOURNALS
- Stem Cell Research and Therapeutics (ISSN:2474-4646)
- International Journal of Surgery and Invasive Procedures (ISSN:2640-0820)
- Ophthalmology Clinics and Research (ISSN:2638-115X)
- International Journal of Anaesthesia and Research (ISSN:2641-399X)
- Journal of Forensic Research and Criminal Investigation (ISSN: 2640-0846)
- Journal of Clinical Trials and Research (ISSN:2637-7373)
- Journal of Cell Signaling & Damage-Associated Molecular Patterns







